- 
   					  
- 
            			Dr. Öğr. Üyesi Mehmet Fatih İnecikliBursa Uludağ Üniversitesi Tıp Fakültesi Radyoloji Ana Bilim Dalı Öğretim Üyesi
 Girişimsel Radyoloji
 
 
                    Merhaba, web sitem üzerinden tecrübelerimi paylaşmaktan büyük mutluluk duyacağım. Sağlık Dolu Günler Dilerim.
Yemek borusu duvarının katmanlarını tanımlayabilen MR sekanslarını kullanarak tanıyı ve daha ileri değerlendirmenin tüm yönlerini geliştirir....
Eklem içi yapıların ayrıntılı görüntülenmesini sağlayan tanı yöntemidir. Artro MR’da normal MR incelemede görülmesi zor olan yapıların gör...
Digital mamografi (Full field digital mammography) Nedir?Digital mamografi iki plaka arasında sıkıştırılan memenin X-ışını kullanılarak elde edile...
40 yaş üzeri kadınlarda yıllık periyodik olarak yapılması önerilen mamografi meme kanserinin erken teşhisi ile hayat kurtarmaktadır ve bu sistemin ...
Radyolojinin en eski alt bölümlerinden olan bu inceleme metodunun tüm teknolojik gelişmelere rağmen anevrizma ve damarsal yapısal bozukluklar başta...
MR da vücudumuzdaki hidrojen protonları uyarılarak sinyal alınır. Sıvı yoğun ortamda hidrojen protonları hareketli olur, bu hareket diffüzyo...
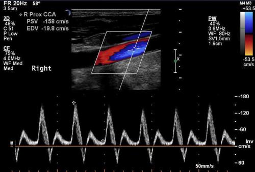
Doppler USG ürolojide en sık erektil Disfonksiyon (ereksiyon olamama, penis sertleşmesi sorunları, impotans) durumunda, nedenin ara...
MR Spektroskopi ortamda değişik doku yapılarının biyokimyasal yapıtaşları hakkında analiz yapan ileri MR inceleme yöntemidir. Hücre yapıtaşlar...
 
                         
                         
                         
                         
                         
                         
                        